Wednesday, December 14, 2022

Ernie the Boney Boy Fetus

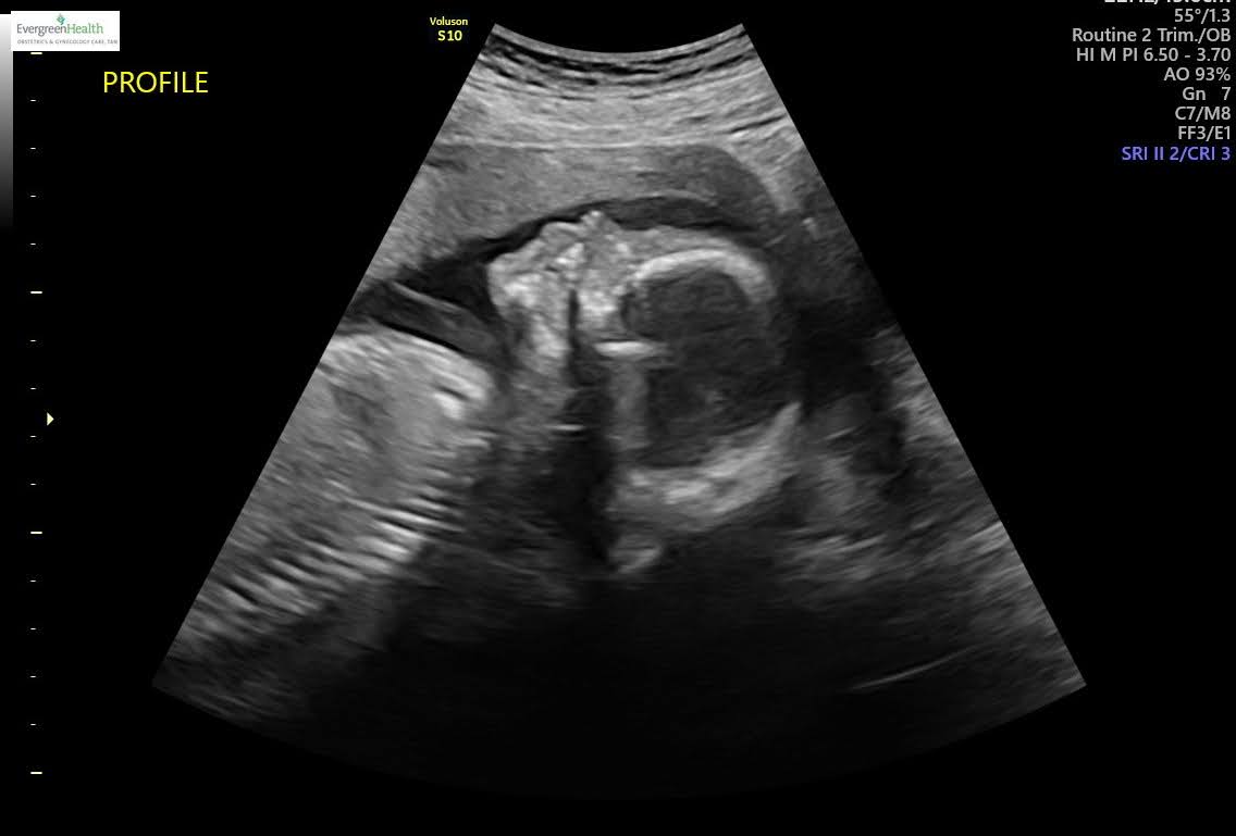
I'm not usually a big braggart but I just got back from another ultrasound and... my son has bones!


Look at this boney little man.







Spine!



Feets!



I especially liked the bones in his legs because they looked like cartoon bones that weren't connected to anything.



I'm very proud of Ernie the Fetus for getting so big.


I even managed to badger some excruciatingly short videos from the ultrasound lady. Why wouldn't you offer these in the first place? Are there people who don't want these?






This one is cute because he has his little hand on the side of his head like babies do, and I also think his little mouth is moving. Could have the hiccups or just practicing swallowing.


We returned to Mox Boarding House Bellevue with Sumit and Shubra for board gaming fun times.









I had what may have been my first hot butter rum.

No comments:

Post a Comment